Tkanka epitelialna: Klucz do zdrowia i prawidłowego funkcjonowania organizmu
Tkanka epitelialna, często określana mianem nabłonka, stanowi jedną z podstawowych tkanki w organizmie człowieka i zwierząt. Jej wszechstronność i kluczowe znaczenie dla prawidłowego funkcjonowania organizmu sprawiają, że zasługuje na szczegółowe omówienie. Od ochrony przed czynnikami zewnętrznymi, przez wchłanianie substancji odżywczych, aż po wydzielanie hormonów – funkcje nabłonka są niezwykle różnorodne i niezbędne do życia.
Czym jest tkanka epitelialna i gdzie ją znajdziemy?
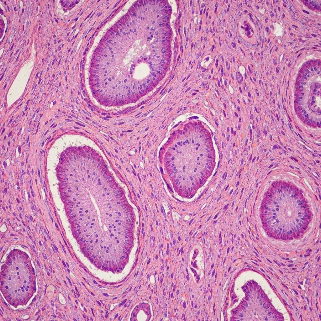
Tkanka epitelialna to wyspecjalizowany typ tkanki łącznej, która pokrywa powierzchnie ciała, wyścieła jamy ciała oraz tworzy gruczoły. Charakteryzuje się ona ściśle ułożonymi komórkami, które są silnie ze sobą połączone za pomocą specjalnych połączeń międzykomórkowych. Pomiędzy komórkami nabłonka znajduje się minimalna ilość substancji międzykomórkowej. Komórki te często ułożone są w jedną lub więcej warstw, a ich kształt może być bardzo zróżnicowany – od płaskich, przez sześcienne, po wysokie walcowate.
Nabłonek znajdziemy praktycznie wszędzie:
* Na zewnętrznej powierzchni skóry, tworząc naskórek.
* Wyścielając przewody pokarmowy, od jamy ustnej po odbyt.
* Pokrywając drogi oddechowe, od nosa po płuca.
* Wyściełając układ moczowy i rozrodczy.
* Tworząc nabłonek narządów wewnętrznych, takich jak nerki czy wątroba.
* Formując nabłonek gruczołowy, który odpowiada za produkcję i wydzielanie różnych substancji.
Podstawowe funkcje tkanki epitelialnej
Wszechstronność nabłonka wynika z jego wielorakich funkcji, które można pogrupować w kilka głównych kategorii. Zrozumienie tych ról jest kluczowe dla docenienia znaczenia tej tkanki dla naszego zdrowia.
Funkcja ochronna
Jedną z najważniejszych funkcji nabłonka jest ochrona. Nabłonek tworzący naskórek stanowi fizyczną barierę dla drobnoustrojów, promieniowania UV oraz mechanicznych uszkodzeń. W przypadku nabłonków wyściełających narządy wewnętrzne, również chroni je przed urazami i inwazją patogenów.
Funkcja wchłaniania i wydzielania
Nabłonek odgrywa kluczową rolę w procesach wchłaniania i wydzielania. W jelicie cienkim komórki nabłonkowe posiadają liczne mikrokosmki, które zwiększają powierzchnię wchłaniania, umożliwiając efektywne przyswajanie składników odżywczych z pożywienia. Z kolei nabłonek gruczołowy odpowiada za produkcję i wydzielanie enzymów, hormonów, śluzu czy potu.
Funkcja zmysłowa
Niektóre rodzaje nabłonka posiadają wyspecjalizowane komórki, które odbierają bodźce z otoczenia. Przykładem mogą być komórki receptorowe w nabłonku węchu czy smaku, które umożliwiają nam odbieranie wrażeń zmysłowych.
Funkcja transportu
W niektórych miejscach nabłonek pełni rolę w transporcie substancji. Na przykład, nabłonek migawkowy w drogach oddechowych posiada rzęski, które przesuwają śluz wraz z uwięzionymi w nim zanieczyszczeniami w kierunku gardła, skąd są usuwane.
Rodzaje tkanki epitelialnej – klasyfikacja i przykłady
Tkankę epitelialną klasyfikuje się na podstawie kilku kryteriów, głównie ze względu na kształt komórek oraz liczbę warstw. Pozwala to na dokładniejsze zrozumienie jej specyficznych funkcji w różnych częściach organizmu.
Klasyfikacja ze względu na kształt komórek
- Nabłonek płaski: Komórki są cienkie i spłaszczone, przypominają łuski. Występuje w miejscach, gdzie ważna jest difuzja i filtracja, np. w pęcherzykach płucnych czy w zewnętrznej warstwie naczyń krwionośnych (śródbłonek).
- Nabłonek sześcienny: Komórki mają kształt zbliżony do sześcianu, z jądrem umieszczonym centralnie. Odpowiada za wydzielanie i wchłanianie, można go znaleźć w kanalikach nerkowych czy przewodach gruczołowych.
- Nabłonek walcowaty: Komórki są wysokie i wąskie, przypominają walce. Często wyposażone są w mikrokosmki lub rzęski. Znajduje się w przewodzie pokarmowym (wchłanianie) oraz w drogach oddechowych (transport śluzu).
Klasyfikacja ze względu na liczbę warstw
- Nabłonek jednowarstwowy: Wszystkie komórki spoczywają na błonie podstawnej, tworząc jedną warstwę. Umożliwia szybki transport substancji.
- Nabłonek wielowarstwowy: Składa się z wielu warstw komórek, gdzie tylko komórki najniższej warstwy spoczywają na błonie podstawnej. Zapewnia większą wytrzymałość mechaniczną i ochronę. Typowym przykładem jest nabłonek wielowarstwowy płaski tworzący naskórek.
- Nabłonek wielorzędowy: Wszystkie komórki przylegają do błony podstawnej, ale ich jądra znajdują się na różnych poziomach, co sprawia wrażenie wielu warstw. Występuje głównie w drogach oddechowych.
Tkanka epitelialna a choroby i pielęgnacja
Zaburzenia funkcji tkanki epitelialnej mogą prowadzić do różnorodnych problemów zdrowotnych. Zrozumienie mechanizmów działania nabłonka jest kluczowe w diagnostyce i leczeniu wielu schorzeń, a także w codziennej pielęgnacji.
Choroby związane z nabłonkiem
Wiele chorób ma swoje źródło w nieprawidłowym funkcjonowaniu komórek nabłonkowych. Nowotwory, takie jak rak płaskonabłonkowy czy rak jelita grubego, często wywodzą się z komórek nabłonkowych. Stany zapalne skóry, infekcje dróg oddechowych czy problemy z wchłanianiem w jelitach również mogą być związane z uszkodzeniem lub dysfunkcją nabłonka. Choroby autoimmunologiczne, takie jak łuszczyca, atakują komórki nabłonka skóry, prowadząc do charakterystycznych zmian.
Pielęgnacja skóry a tkanka epitelialna
Skóra, jako największy organ ciała, jest w całości pokryta nabłonkiem wielowarstwowym płaskim – naskórkiem. Regularne i prawidłowe oczyszczanie skóry, stosowanie kosmetyków nawilżających oraz ochrona przed szkodliwym promieniowaniem UV są kluczowe dla utrzymania jej zdrowia i prawidłowego funkcjonowania nabłonka. Uszkodzenie naskórka może prowadzić do utraty jego funkcji barierowej, zwiększając ryzyko infekcji i podrażnień.
Podsumowanie znaczenia tkanki epitelialnej
Tkanka epitelialna jest fundamentalnym budulcem naszego organizmu, którego wszechstronne funkcje decydują o naszym zdrowiu i prawidłowym funkcjonowaniu wszystkich układów. Od ochrony przed zewnętrznymi zagrożeniami, przez regulację wchłaniania i wydzielania, aż po odbieranie bodźców zmysłowych – jej rola jest nie do przecenienia. Dbałość o zdrowie nabłonków, zwłaszcza skóry i błon śluzowych, poprzez odpowiednią dietę, higienę i styl życia, jest kluczowa dla utrzymania dobrego samopoczucia i profilaktyki wielu chorób. Zrozumienie budowy i funkcji tej niezwykłej tkanki pozwala nam lepiej docenić złożoność ludzkiego organizmu.